15.03.2021

Neuer Biomarker für das Nasen-Rachen-Karzinom
Ein internationales Forscher:innenteam unter führender Beteiligung der Medizinischen Universität Innsbruck widmet sich der Erforschung des Nasen-Rachen-Karzinoms. In einer großangelegten Studie konnte die Verbindung des Somatostatin-Rezeptor 2 zu dem aggressiven Karzinom hergestellt werden. Die neuesten Erkenntnisse zu diesem Biomarker wurden in Nature Communications publiziert.
Das Nasopharynx-Karzinom (Nasen-Rachen-Karzinom) ist in Südostasien und Afrika weit verbreitet und stellt dort eine der häufigsten Krebserkrankungen im Hals-Nasen-Ohren Bereich dar. Die Tumorentstehung wird in diesen Regionen typischerweise durch das Epstein-Barr-Virus (EBV) induziert, es gibt allerdings auch andere Risikofaktoren wie die Infektion mit humanen Papillomaviren und Rauchen. Das 5-Jahres-Überleben der Patient:innen mit einem Nasopharynx-Karzinom im Stadium IV liegt bei unter 40 Prozent. Nasen-Rachen-Karzinome sind chirurgisch schwer zugänglich; daher stellt die Radio-Chemotherapie die Therapie der Wahl dar. Eine frühzeitige Diagnose verbessert die Prognose der Patient:innen erheblich und die Erforschung von weiteren Therapiemöglichkeiten ist v.a. bei fortgeschrittenen Stadien von großer Bedeutung. Hier könnte ein neuer Biomarker für das Nasen-Rachen-Karzinom, der Somatostatin-Rezeptor 2 (SSTR2), einen wesentlichen Beitrag leisten. Rezeptoren sind spezielle Proteine an der Oberfläche (Membranrezeptoren) bzw. im inneren von Zellen, die als Bindungsstellen für Signalmoleküle (Liganden) dienen. Diese Funktion kann diagnostisch sowie therapeutisch genutzt werden.
Internationale Studie
In der Innsbrucker Universitätsklinik für Hals- Nasen- Ohrenheilkunde (Direktor: Herbert Riechelmann) widmet sich Volker Schartinger seit einigen Jahren der Erforschung von Somatostatinrezeptoren bei Kopf-Hals-Karzinomen. Die aktuelle Untersuchung nahm bereits 2015 an der Medizinischen Universität Innsbruck, mit einer Fallstudie in Kooperation mit Christian Uprimny von der Universitätsklinik für Nuklearmedizin (Direktorin: Irene Virgolini), ihren Anfang. Nachdem aus einer vorangegangenen Positronen-Emissions-Tomographie (PET)- Studie hervorging, dass der Somatostatin-Rezeptor 2 (SSTR2) in gängigen Kopf-Hals-Tumoren eher eine untergeordnete Rolle spielt, konzentrierte man sich nach erfolgreicher bildgebender Darstellung des SSTR2 in Nasen-Rachen-Karzinomen bei weiteren Untersuchungen auf diese Subentität, den Nasen-Rachenraum.
Teamwork
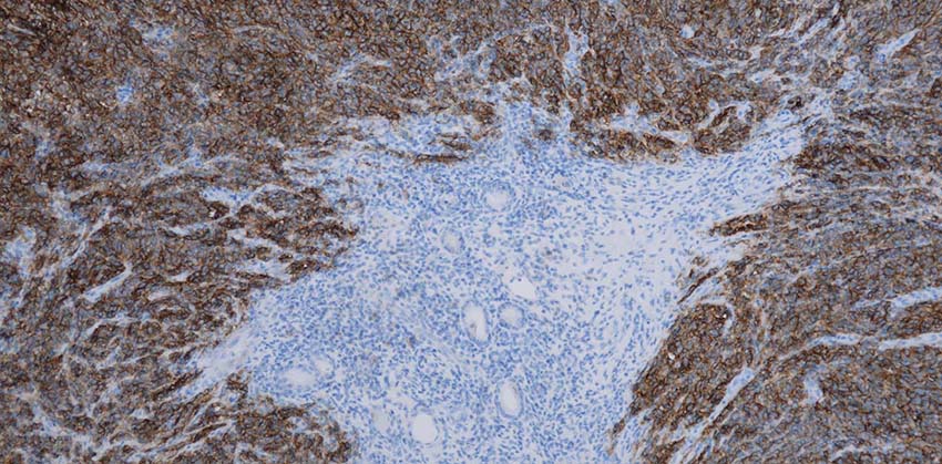
Gemeinsam mit dem gebürtigen Innsbrucker HNO-Chirurgen Matthias Lechner vom Cancer Institute des University College London, der derzeit an der Universität Stanford tätig ist, und sich auch an der Medizinischen Universität Innsbruck habilitierte, gelang es international renommierte Nasen-Rachen-Karzinom-Forscher:innen für diese großangelegte Studie zu gewinnen. Hierfür wurden wegweisende Vorarbeiten und Grundlagen im molekular-biologischen Forschungslabor der HNO-Klinik (Leiter: József Dudás) sowie den weiteren beteiligten Instituten der Medizinischen Universität Innsbruck durchgeführt. Durch Arbeiten am UCL Cancer Institute, am Christian-Doppler Labor für virale Immuntherapie von Krebs (insbesondere Liesa-Marie Schreiber und Guido Wollmann) des Instituts für Virologie (Leiterin: Dorothea van Laer), der Universität Hong Kong und der Universität Oxford, wurden hier wichtige Beiträge in den in-vitro und in-vivo Versuchen geleistet. Mit Susanne Sprung und Johannes Haybäck vom Institut für Pathologie, Neuropathologie und Molekularpathologie (Leiter: Johannes Haybäck) wurde der immunhistochemische Nachweis des SSTR2 für alle weltweit beteiligten Zentren optimiert und ausgewertet.
Ergebnisse
Schließlich gelang es den Konnex zwischen dem Nasen-Rachen-Karzinom und dem SSTR 2 herzustellen. „Sowohl das Nasen-Rachen-Karzinom als auch der SSTR2, welcher in der Nuklearmedizin routinemäßig als Ziel zur Diagnose und Therapie eingesetzt wird, sind gut erforscht, ihr hochsignifikanter Zusammenhang war bisher allerdings unbekannt“, erklärt Volker Schartinger.
Es zeigte sich, dass in über 80 Prozent der untersuchten Patient:innen mit Nasen-Rachen-Karzinomen der SSTR 2 gefunden wurde und sie damit assoziiert eine bessere Prognose haben. Auch der Zusammenhang von EBV und dem Vorliegen des Somatostatin-Rezeptor 2 wurde bewiesen, und der zu Grunde liegende Mechanismus der Hochregulierung des Rezeptors durch Membranproteine des Virus geklärt.
Da die Verbreitung – neben hohen Zahlen in Afrika – in Südostasien signifikant höher ist als im europäischen Raum, war es wichtig vor Ort mit den Kooperationspartnern in ständigem Kontakt zu sein, um durch höhere Fallzahlen valide Daten zu erhalten. „Einen wichtigen Anteil an der Studie hatte auch das studentische Austauschprogramm ASEA-Uninet, das mit Hilfe von Erich Schmutzhard and Bernd Rode zahlreiche Kooperationsprogramme in Indonesien förderte und damit auch die Kooperation im südostasiatischen Raum ermöglichte“, meint Volker Schartinger.
Ausblicke
Der Somatostatin-Rezeptor 2 könnte sich nach weiteren Schritten der Standardisierung und Validierung routinemäßig in der pathologischen Aufarbeitung von Nasen-Rachen-Karzinomen als wichtiges diagnostisches Hilfsmittel erweisen. Weiters könnte er von Nuklearmedizinern im Rahmen von PET-Untersuchungen als mögliche alternative Zielstruktur ergänzend oder anstatt der Fluorddesoxyglukose (FDG)- PET eingesetzt werden. Vor allem im asiatischen Raum werden die neu gewonnen Erkenntnisse bereits aufgegriffen, um an einer zielgerichteten Therapie (Targeted Therapy), mit SSTR2 als Angriffspunkt für hochspezifische Wirkstoffliganden, zu arbeiten.

Im Bild v.l.: Christian Uprimny, József Dudás, Guido Wollmann, Herbert Riechelmann, Johannes Haybäck, Volker Schartinger, Liesa-Marie Schreiber, Matthias Lechner (Fotomontage: Univ.-Klinik f. HNO)
Links:
(Titelfoto: Nasen-Rachen-Karzinom mit Somatostatinrezeptor Expression.)
(15.03.2021; Elisabeth Schenk; Fotos: Univ.-Klinik für HNO; Volker Schartinger)