Presseinformationen 2024
Dezember 2024

12.12. 58/2024
Ignaz Semmelweis Institut nimmt seine Arbeit auf
November 2024

Oktober 2024
28.10. 53/2024
Die Vortragsreihe „Wissen|schaf(f)t Gesundheit“ geht in die nächste Runde!
06.10. 52/2024
Hohe Auszeichnung: Rektor Fleischhacker erhielt das Große Goldene Ehrenzeichen für Verdienste um die Republik Österreich
02.10. 51/2024
Medizin Uni Innsbruck und MED-EL setzen neue Maßstäbe in der Hörgesundheitsversorgung für Ghana
September 2024
26.09. 50/2024
Ringvorlesung: Gesundheit von Menschen mit Behinderung – eine diversitätssensible Perspektive
20.09. 49/2024
Veranstaltungshinweise der Medizinischen Universität Innsbruck
17.09. 48/2024
Anatomie Innsbruck ist international gefragtes Ausbildungs- und Forschungszentrum
10.09. 47/2024
Erstmals klare Entscheidungskriterien für die Therapieanpassung bei Multipler Sklerose
09.09. 46/2024
Ein Blick hinter die Kulissen der Anatomie der Medizinischen Universität Innsbruck
August 2024
29.08. 45/2024
Psychische Gesundheit in Familien: Stigmatisierung nach wie vor großes Problem
28.08. 44/2024
Blasenkrebs: Chemo-Tauglichkeit im 24-Stunden-Urin besser berechenbar
22.08. 43/2024
Brustkrebs: Studie der Medizin Uni Innsbruck bringt neue Erkenntnisse zur Therapie bei Knochenmetastasen
21.08. 42/2024
Licht statt Strahlung
06.08. 41/2024
Kaspar Hauser war zu 99,9994 Prozent kein Prinz
Juli 2024
17.07. 40/2024
Tiroler Forschungsteam brachte Licht in dunkle Genregionen
05.07. 39/2024
Aufnahmeverfahren zum Medizinstudium: 11.904 nahmen teil
04.07. 38/2024
11. Europäischer Kongress für Positive Psychologie: Kann KI dem Glück auf die Sprünge helfen?
Juni 2024
26.06. 37/2024
Einladung zum Pressegespräch: Aufnahmeverfahren für die Diplomstudien der Humanmedizin und Zahnmedizin in Innsbruck
25.06. 36/2024
Innsbrucker RNA-ForscherInnen klären Zusammenhänge von vier Seltenen Krankheiten
20.06. 35/2024
Innsbrucker ForscherInnen gelingt es erstmals Herzmuskelzellen zu regenerieren
19.06. 34/2024
Studierende im Wettbewerb um schnellste Diagnosen und beste Behandlungen: Finale Paul-Ehrlich-Contest 2024
12.06. 33/2024
Vortrag „Wissen/schafft Gesundheit“: BRUST-, EIERSTOCK- UND GEBÄRMUTTERHALSKREBS: VON DER EIZELLE ZUM TUMOR
11.06. 32/2024
Forschungsteam untersuchte posttraumatische Belastung nach Bergunfällen
04.06. 31/2024
MRT-Studie enthüllt neuen, unabhängigen Marker für Prognose nach Herzinfarkt
Mai 2024
30.05. 30/2024
„50 Jahre Immuntherapie“ – Festvortrag von Christoph Huber
21.05. 29/2024
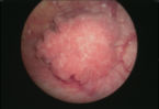
Lichtblick für die Diagnose und Behandlung des kleinzelligen Lungenkarzinoms
15.05. 28/2024
Fototermin mit drei Innsbrucker Handtransplantierten: Fokus auf PatientInnen und Forschung lenken
April 2024
29.04. 27/2024
Podiumsdiskussion: Was wir aus Pandemien lernen können
26.04. 26/2024
Liechtensteinpreis in Vaduz verliehen
25.04. 25/2024
Aviso: Pressegespräch zum Aufnahmeverfahren zum Medizinstudium
24.04. 24/2024
„Gütesiegel für gute Forschung“
23.04. 23/2024
Neue Lösungsansätze für wachsende Resistenzen gegen Pilzmedikamente
17.04. 22/2024
Veranstaltungshinweise: „Wissen/schafft Gesundheit“-Vorträge im Sommersemester
16.04. 21/2024
Vom harmlosen Pilz zur globalen Bedrohung: Warum Forschung zu Resistenzentwicklung gegen Pilzmedikamente so wichtig ist
15.04. 20/2024
Hormone und ein Geburtstag im Frühling
08.04. 19/2024
Was hinter der Krankheit steckt: Molekulare Medizin in Innsbruck studieren
März 2024
20.03. 18/2024
Abwasseranalyse zum Drogenkonsum in Österreich 2023: Cannabis dominiert, Kokainkonsum steigt an
05.03. 17/2024
Die Zukunft der Herzmedizin ist digital
Februar 2024
28.02. 16/2024
„Woche des Gehirns“: Reden wir über mentale Gesundheit!
27.02. 14/2024
GLUT1-Defizienzsyndrom – jedes Gramm wird abgewogen
27.02. 13/2024
26. Kardiologie Kongress Innsbruck: Die Zukunft der Herzmedizin ist digital
22.02. 12/2024
Wie Frauen das globale Gesundheitssystem retten werden
21.02. 11/2024
3D gedruckte Augenlider made in Tirol
14.02. 10/2024
Pre-Event zur Woche des Gehirns 2024: Podiumsdiskussion Gesundheitsvorsorge für die Psyche
12.02. 09/2024
3D gedruckte Augenlider made in Tirol
Jänner 2024
30.01. 08/2024
Gemeinsam gegen Krebs: Das Austrian Comprehensive Cancer Network (ACCN) setzt neue Maßstäbe
23.01. 07/2024
Jugendliche und Drogenkonsum
23.01. 06/2024
Anmeldung zu den „Open Lab Days“ für SchülerInnen läuft
22.01. 05/2024
Protein SATB2 entscheidet über Intelligenz
18.01. 04/2024
WISSEN LEBEN-PODCAST: Reden im stillsten Raum Tirols
17.01. 03/2024
Veranstaltungshinweise: Drei „Wissen/schafft Gesundheit“-Vorträge mit Livestream
16.01. 02/2024
Medizin für die Lebenden und die Toten
09.01. 01/2024
Institut für Gerichtliche Medizin Innsbruck: Neue Direktorin bringt neuen Schwerpunkt mit


