Paediatrics II
Research Focus
General Facts
Research
Selected Publications
Selected Funding, Collaboration
Devices & Services
Keywords: Preterm infants, neonatal neuroscience, developmental outcome, brain injury, neonatal imaging, MRI, cardiovascular risk, FOXO3, drug repositioning, bioprinting
Research (ÖSTAT Classification) : 302049, 301401, 302060
Research Focus
- Characterisation of risk predictors for adverse outcomes in preterm infants
- Monitoring of preterm brain maturation and diagnosis of brain injury (aEEG, GM, MRI, NIRS)
- Investigation of the effects of prematurity, neonatal growth and feeding practices on cardiovascular risk factors
- Development of substances for neuroprotection and the treatment of newborn brain injury
- Identification of drugs that modulate the transcription factor FOXO3
- Development of 3D-printed tissue equivalents
General Facts
The Department of Neonatology at the Medical University of Innsbruck is a perinatal centre with the highest level of care. It offers treatment for all preterm and critically ill neonates in Tyrol and a standardised follow-up programme until these children reach school age. Researchers’ aims are the early identification of infants at risk of adverse outcome and the improvement of long-term outcomes. To achieve these, we combine basic (www.neonatal-research.at) and clinical science. Clinical research includes the characterisation of neurodevelopmental and cardiovascular outcomes of very preterm infants until school age and the definition of risk predictors of adverse outcomes. This encompasses: multimodal methods to monitor brain activity (aEEG, NIRS), brain maturation (GM) and brain injury (MRI); evaluation of the role of nutrition/growth; and research into the optimisation of perinatal resuscitation. In our basic research projects, we focus on the assessment of neuroprotective strategies to counteract brain injury. By combining basic and clinical research, we evaluate laboratory biomarkers to diagnose brain injury and to predict long-term outcomes. In addition, we participate in a worldwide collaboration for quality improvement – the Vermont Oxford Network – with the aim of following key neonatal outcomes and thereby continuously improving patient care. Close national and international collaborations exist with perinatal centres as well as local neuroscience and cardiovascular science groups.
Research
Neonatal Neuroscience – Clinical and Experimental Research Groups
Griesmaier E., Neubauer V., Posod A., Hammerl M., Wechselberger K., Urbanek M., Huber E., Höck M., Winkler I., Pellkofer Y., Sappler M., Pupp Peglow U., Kiechl-Kohlendorfer U.
Improvements in neonatal intensive care medicine in recent decades have substantially reduced preterm infant mortality. However, infants born prematurely remain at high risk of neurodevelopmental delay and lifelong handicap. To date, no causal therapeutic strategies are available for neonatal brain injury. Clinical management therefore focuses on optimal perinatal care and on early identification of infants at high risk of adverse outcomes.
Clinical Research Projects
Evaluation of Preterm Brain Development and Outcome Prediction
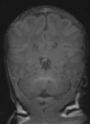
For the preterm infant, the provision of diagnostic measurements of brain compromise is a high priority, in order to minimise the risk of developmental impairment. Amplitude-integrated electroencephalography (aEEG) is used to monitor the functional status of the brain and to observe maturational changes during extrauterine development. Near-infrared spectroscopy (NIRS) enables continuous estimation of cerebral oxygenation. General movements (GM) are part of the spontaneous movement repertoire of newborn infants. The presence, quality and intensity of GM are markers of central nervous system integrity. Quality of GM has emerged as a reliable predictor of neurodevelopmental delay in preterm infants. Cerebral magnetic resonance imaging (MRI), performed at term-equivalent age in all very preterm infants, provides detailed information on the wide spectrum of preterm brain injury and alterations in postnatal brain development in preterm infants (Fig. 1).

Neurodevelopmental Follow-Up of Very Preterm Infants
Children born preterm are at risk of neurodevelopmental delay or disorders. Regular follow-up visits are therefore important not only to provide support for these children and their parents but also for research purposes and for quality control of neonatal intensive care.
Experimental Research Projects
Biomarkers of Neonatal Brain Injury
The early detection of brain injury is essential for the timely administration of neuroprotective agents. At present, diagnosis of neonatal brain injury is based on clinical examination, electrophysiological tests and brain imaging. Serum biomarkers are promising tools, which help carers to tailor therapeutic approaches and to predict prognoses more accurately. Biomarkers currently being investigated include the neuropeptide secretoneurin as well as short non-coding ribonucleic acids – so-called microRNAs.
Neuroprotective Agents
Our research laboratory focuses on the evaluation of potential neuroprotective drugs in different in vivo and in vitro models to counteract newborn brain injury (Fig. 2). One current focus is on evaluation of the therapeutic potential of endogenous sigma-1 receptor ligands, such as dehydroepiandrosterone and its sulphate ester, and of levomepromazine, a phenothiazine neuroleptic drug with strong analgesic and sedative properties.

Current Health Challenges
COVID-19 Pandemic
Posod A.
Another primary focus of our research group is on scientifically addressing current health challenges. In face of the COVID-19 pandemic, we have implemented a clinical trial to investigate the effects on the newborn child of a maternal SARS-CoV-2 infection during pregnancy.
Cardiovascular Science
Cardiovascular Follow-Up of Very Preterm Infants (NeoVasC)
Mitterer W., Pellkofer Y., Hochmayr C., Posod A., Kiechl-Kohlendorfer U.
Prematurity is an established risk factor for cardiovascular disease in adult life. Early detection of cardiovascular risk predictors is therefore crucial to the implementation of effective prevention programmes. Our research group assesses both traditional and novel cardiovascular risk factors, from birth until preschool age. One special focus is on the protective effect of exclusive human milk feeding on cardiovascular risk.
Early Vascular Ageing in the YOUth (EVA4YOU)
Staudt A., Gande N., Hochmayr C., Winder B., Kiechl-Kohlendorfer U.
EVA4YOU is a study that builds on the existing knowledge gained from the EVA study. It aims to improve vascular health of 15/16-year-old Tyrolean pupils and apprentices and to elucidate mechanisms of early vascular ageing (Fig. 3). The current database concerning the influence of prematurity, neonatal growth characteristics and feeding practices on early vascular ageing will be extended and associations with additional risk markers for cardiovascular diseases will be elucidated.

Further Experimental Research Groups
Foxo Transcription Factors
Obexer P.
FOXO transcription factors are involved in many cellular processes as apoptosis, autophagy, metabolism and longevity. Our research group has been focusing on the investigation of the function, prognostic relevance and therapeutic application of the transcription factor FOXO3 in neuronal cells. From fluorescent polarisation assay screening in a drug repositioning approach, two FDA-approved, small-molecular weight compounds (carbenoxolone and repaglinide) have been identified as novel FOXO3 inhibitors: carbenoxolone abrogates the FOXO3-mediated chemoprotection and repaglinide efficiently inhibits the FOXO3/lumican-triggered migration in neuronal tumour cells.
3D Bioprinting and Metabolism
Hagenbuchner J.
Our group focuses on the role of mitochondrial structures, metabolism and cell death regulation in childhood malignancies. In 2018, Hagenbuchner J. and Ausserlechner MJ. founded the first Austrian 3D-bioprinting laboratory and they are currently focusing on 3D-printed tissue equivalents, especially vascularised skin chips and 3D-bioprinted organ-on-chip models to study metabolism in humanised in vitro models.
Selected Publications
- Burger, Christina; Biermayr, Marlene; Posod, Anna; Neubauer, Vera; Pupp Peglow, Ulrike; Kuenz, Katrin; Kiechl-Kohlendorfer, Ursula; Griesmaier, Elke: Amplitude-integrated electroencephalography shows alterations in children born preterm displaying poor literacy precursor skills. ACTA PAEDIATRICA. 2019; 108; 1661-1668.
- Posod, Anna; Wechselberger, Karina; Schmid, Anna; Huber, Eva; Urbanek, Martina; Kiechl-Kohlendorfer, Ursula; Griesmaier, Elke: Excitotoxicity alters endogenous secretoneurin plasma levels, but supplementation with secretoneurin does not protect against excitotoxic neonatal brain injury. NEUROSCIENCE. 2019; 410; 239-253.
- Hammerl, Marlene; Zagler, Michaela; Griesmaier, Elke; Janjic, Tanja; Gizewski, Elke Ruth; Kiechl-Kohlendorfer, Ursula; Neubauer, Vera: Reduced cerebellar size at term-equivalent age is related to a 17% lower mental developmental index in very preterm infants without brain injury. NEONATOLOGY. 2019; 117; 57-64.
- Burger, Christina; Hammerl, Marlene; Neubauer, Vera; Pupp Peglow, Ulrike; Kiechl-Kohlendorfer, Ursula; Griesmaier, Elke: Early preterm infants with abnormal psychomotor neurodevelopmental outcome at age two show alterations in amplitude-integrated electroencephalography signals. EARLY HUMAN DEVELOPMENT. 2020; 141: 104935.
- Posod, Anna; Winkler, Ira; Wegleiter, Karina; Huber, Eva; Urbanek, Martina; Kiechl-Kohlendorfer, Ursula; Griesmaier, Elke: The effect of levomepromazine on the healthy and injured developing mouse brain – An in vitro and in vivo study. IBRO REPORTS. 2020; 9: 247–257.
- Hammerl, Marlene; Zagler, Michaela; Griesmaier, Elke; Zimmermann, Martina; Janjic, Tanja; Gizewski, Elke Ruth; Kiechl-Kohlendorfer, Ursula; Neubauer, Vera: Supratentorial brain metrics predict neuro-developmental outcome in very preterm infants without brain injury at age two years. NEONATOLOGY. 2020; 12: 1-7.
- Posod, Anna; Pechlaner, Raimund; Yin, Xiaoke; Burnap, Sean Anthony; Kiechl, Sophia Julia; Willeit, Johann; Witztum, Joseph L.; Mayr, Manuel; Kiechl, Stefan; Kiechl-Kohlendorfer, Ursula: Apolipoprotein profiles in very preterm and term-born preschool children. JOURNAL OF THE AMERICAN HEART ASSOCIATION. 2019; 8: e011199.
- Stock, Katharina; Nagrani, Rajni; Gande, Nina; Bernar, Benoit; Staudt, Anna; Willeit, Peter; Geiger, Ralf; Knoflach, Michael; Kiechl-Kohlendorfer, Ursula; Early Vascular Aging (EVA) Study Group: Birth weight and weight changes from infancy to early childhood as predictors of body mass index in adolescence. JOURNAL OF PEDIATRICS. 2020; 222: 120-126.e3.
- Staudt, Anna; Stock, Katharina; Gande, Nina; Bernar, Benoit; Hochmayr, Christoph; Pechlaner, Raimund; Kiechl, Sophia Julia; Geiger, Ralf; Griesmacher, Andrea; Anliker, Markus; Kiechl, Stefan; Kiechl-Kohlendorfer, Ursula; Knoflach, Michael; Early Vascular Ageing (EVA) Study Group: Impact of lifestyle and cardiovascular risk factors on early atherosclerosis in a large cohort of healthy adolescents: The Early Vascular Ageing (EVA)-Tyrol Study. ATHEROSCLEROSIS. 2020; 305: 26-33.
- NCD Risk Factor Collaboration [Kiechl-Kohlendorfer, Ursula; Kiechl, Stefan; Knoflach, Michael; Willeit, Johann; Willeit, Peter]: Height and body-mass index trajectories of school-aged children and adolescents from 1985 to 2019 in 200 countries and territories: a pooled analysis of 2181 population-based studies with 65 million participants. LANCET. 2020; 396; 1511-1524.
- Hagenbuchner, Judith; Oberacher, Herbert; Arnhard, Kathrin; Kiechl-Kohlendorfer, Ursula; Ausserlechner, Michael J.: Modulation of respiration and mitochondrial dynamics by SMAC-mimetics for combination therapy in chemoresistant cancer. THERANOSTICS. 2019; 9; 4909-4922.
- Salcher, Stefan; Spoden, Gilles; Huber, Julia M.; Golderer, Georg; Lindner, Herbert; Ausserlechner, Michael J.; Kiechl-Kohlendorfer, Ursula; Geiger, Kathrin; Obexer, Petra: Repaglinide silences the FOXO3/Lumican axis and represses the associated metastatic potential of neuronal cancer cells. CELLS 2019; 9: 1.
- Hagenbuchner, Judith; Obsilova, Veronika; Kaserer, Teresa; Kaiser, Nora; Rass, Bettina; Psenakova, Katarina; Docekal, Vojtech; Alblova, Miroslava; Kohoutova, Klara; Schuster, Daniela; Aneichyk, Tatsiana; Vesely, Jan; Obexer, Petra; Obsil, Tomas; Ausserlechner, Michael J.: Modulating FOXO3 transcriptional activity by small, DBD-binding molecules. ELIFE. 2019; 8(S); e48876.
- Salcher, Stefan; Spoden, Gilles; Hagenbuchner, Judith; Führer, Sebastian; Kaserer, Teresa; Tollinger, Martin; Huber-Cantonati Petra; Gruber, Thomas; Schuster, Daniela; Gust, Ronald; Zwierzina, Heinz; Müller, Thomas; Kiechl-Kohlendorfer, Ursula; Ausserlechner, Michael J.; Obexer, Petra: A drug library screen identifies Carbenoxolone as novel FOXO inhibitor that overcomes FOXO3-mediated chemoprotection in high-stage neuroblastoma. ONCOGENE. 2020; 39: S. 1080-1097
Selection of Funding
- Early vascular ageing (NeoVasC and EVA4YOU), part of the excellence initiative (Competence Centers for Excellent Technologies—COMET) of the Austrian Research Promotion Agency FFG: “Research Center of Excellence in Vascular Ageing—Tyrol, VASCage” (K project number 843536) of the Austrian Research Promotion Agency FFG (COMET program), funded by the Austrian Ministry for Transport, Innovation and Technology, the Austrian Ministry for Digital and Economic Affairs and the federal states Tyrol (via Standortagentur), Salzburg and Vienna (via Vienna Business Agency). 1,1 Mio. Euro
- FFG Bridge 1 Project (Co-Primary Investigator Judith Hagenbuchner) starting 01.01.2021, 210,000 Euro
- Acoustic environment during neonatal life and language development in preterm infants, medicalpromotion fund: 16,221 Euro
- Evaluation of the effect of prophylactic paracetamol for closure of ductus arteriosus on brain development in very preterm infants, Austrian Heart Foundation: 9,625 Euro
- Evaluation of the effect of postnatal cytomegalovirus infection on (micro)structural cerebral development in very preterm infants, Tyrolean science funding: 9,570 Euro
Collaborations
- NCD Risk Factor Collaboration – Imperial College London
- Martin Lee, Prolacta Bioscience, Monrovia, CA
- Sampsa Vanhatalo, Department of Neurosciences, University of Helsinki, Finland
- Bea Latal, Child Development Centre, University Children’s Hospital Zurich, Switzerland
- Sara Tucci, University Medical Centre Freiburg, Germany
- Moon R, Goldberg Center for Community Pediatric Health, Children’s National Medical Center, Washington, US, and Blair PS, University of Bristol, UK (International Society for the Prevention of Infant Death)
- Gerhard Pichler, Division of Neonatology, Department of Pediatrics and Adolescent Medicine, Medical University of Graz, Graz, Austria.
- Tollinger M, Institute of Organic Chemistry, CMBI- Centre for Molecular Biosciences Innsbruck, University of Innsbruck, Innsbruck, Austria
- Gust R, Institute of Pharmacy/Pharmaceutical Chemistry, CMBI- Centre for Molecular Biosciences Innsbruck, University of Innsbruck, Innsbruck, Austria
Devices & Services
- Bioprinters: Cellink Inkredible+ and 3D Discovery Biosafety System
- FDM- and DLP-printers
